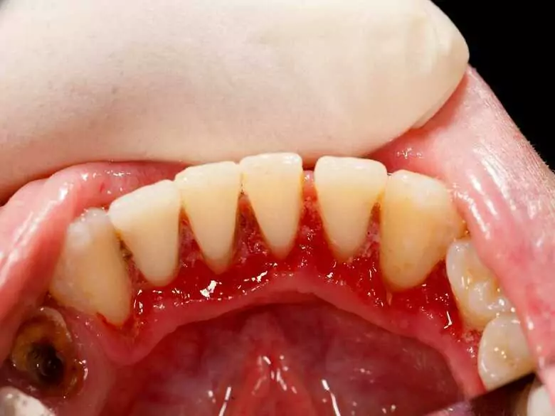
Zapalenie dziąseł jest związane z infekcją bakteryjną. Chociaż samo zapalenie nie jest zakaźne, bakterie odpowiedzialne za jej rozwój mogą być przenoszone między osobami, np. przez pocałunki.
Reklama:
Ten tekst przeczytasz w 3 min.
PantherMedia
Zęby
